自宅でチェックを受けられるから「通院回数が少ない」「治療期間が短い」だからムリなく継続しやすい!
無料カウンセリングで

お子さんの歯並びのモヤモヤを
解消しませんか?

これって大丈夫なのかな?

そんな不安がよぎることはありませんか?
実際、たくさんの親御さんが同じようなお悩みを相談されています。

実際にいただく代表的なお悩み

子供に合っている
矯正方法がわからない

前歯が出ている
引っ込んでいる

口が閉じられず
いつもポカンと開いている

乳歯が重なって
生えている

乳歯がピチピチに
生えている

乳歯の歯並びが
乱れている

(生え変わるとき大丈夫か心配)

など、お子さんの歯並びに関心を
持っていただいたからこそのお悩みです。
無料相談でお子さんにとって良い方法を探してみませんか?

矯正を始めてみたいけど…
こんな不安お悩みありませんか?

「学校や習い事が忙しくてあまり通院の時間が取れない」「子供が面倒くさがって乗り気じゃない」「ワイヤー矯正は目立つからと子供が嫌がる」

他にこんなお悩みも

送迎や付き添いの負担
大きく時間がもったいない

医院まで距離があるため
頻繁に通院するのは大変

続けられずに中断した場合
無駄になってしまうかも

金属アレルギーが心配
矯正を諦めている

痛みや見た目が気になって
矯正に踏み出せない

今からでも矯正できるのかな
遅くないのかな

そんなお悩みには

津島歯科が
お子さんにピッタリの矯正

をご提案します!

津島歯科では様々な治療の中からお子さんの状態に合った矯正を提供しています。
症例に応じてムーシールド、プレオルソ、床矯正、インビザラインを使い分けています。
今回は遠隔診療にも対応したインビザラインをご紹介します。

※ムーシールド、プレオルソ、床矯正についてはこちらをご覧ください。

津島歯科のインビザラインは デンタルモニタリングによって遠隔で治療の経過確認ができる 新しいスタイルの矯正治療です
Dental Monitoring

デンタルモニタリングとは?

遠隔×スマホ×AI診断

遠隔経過観察システム

デンタルモニタリングは、AIを使ったスマホアプリによる遠隔チェックシステムです。おうちで週1回、お口の中をスマートフォンで撮影して送信するだけ。

そのデータをもとに、AIと担当医が歯の動きやマウスピースのフィット具合を確認します。

01

北東北初!AI画像診断

週1回、撮影した画像はアプリを通じて送信され、AIが自動分析。その結果が歯科医師に報告されます。

AIと歯科医師が経過を見守っているため、通院が減っても治療の精度や安全性はしっかり保たれています。

通院回数がグッと少なく

これまでの矯正では、1〜2か月ごとに通院してチェックを受ける必要がありました。しかし、デンタルモニタリングを使えば、3か月に1回程度の通院頻度となります。

通院せずに治療の進行状況を確認できるため、送迎やスケジュール調整の手間が軽くなり、生活への負担を最小限に抑えられます。

02

治療期間の短縮​

マウスピースの不適合などの問題も、遠隔管理やAI活用によって早期に発見できるため、速やかな対応が可能になります。

そのため、効率的な治療が可能となり、追加アライナーの減少や治療期間の短縮にもつながります。

03

インビザラインとは?

invisalign first

世界中で約2,000万人以上が選んでいる
透明で目立ちにくいマウスピース矯正治療です

インビザラインは、取り外し可能な透明のマウスピース(アライナー)を使って、歯を少しずつ理想の位置へ動かしていく矯正方法です。定期的に新しいアライナーに交換しながら段階的に歯並びを整えていくため、従来のワイヤー矯正のような見た目のストレスや痛みが少ないのが特徴です。透明で装着してもほとんど気づかれないため、仕事や日常生活の中でも自然に治療を続けることができます。

Features

津島歯科×インビザラインの特徴

POINT 01

短期間で矯正が完了!

20年以上の小児矯正経験に加え、AI技術やデンタルモニタリングを活用することで、短期間での矯正を可能にしています。

従来は治療開始から完了まで1年かかるような矯正も約7ヶ月といったように、従来よりも短期間で治療を終えられるようになりました。

POINT 02

遠隔診療対応で通院回数を削減

スマホ専用のアプリでお口の写真を送るだけで、AIと担当医による遠隔診療を受けることができます。

今までの矯正では毎月1回以上の通院が必要でしたが、約3ヶ月に1回ほどで済むようになります。習い事や部活動で忙しいお子さん、お仕事でお子さんと一緒に通院する時間の確保が難しい親御さんでも治療を進められます。

POINT 03

歯並びの変化を事前に3Dで確認

インビザラインでは、お口の中をスキャンする機器「iTero(アイテロ)」による3Dシミュレーションが可能です。お子さんの歯がどのように動き、治療後にどんな歯並びになるのかを、治療前に3Dで確認できます。

事前にしっかりとご理解・ご納得いただいたうえで、安心して矯正治療を始められます。

POINT 04

希望に沿う矯正プラン提案

十分な時間をかけてご希望を伺い、お子さんの成長に合わせた最適な治療計画をご案内します。気になることがありましたら、何なりとおっしゃってください。

また、お子さんにとってよりよい治療を受けていただくため、必要に応じて他院をご紹介することもございます。

POINT 05

むし歯や歯周病のリスク管理も万全

当院では矯正だけでなく、むし歯や歯周病の治療、親知らずの抜歯、定期メンテナンスまで、総合的に対応しております。歯並びが整うことでお手入れがしやすくなり、むし歯や歯周病の予防効果もアップ。

また、健康面だけでなく、美しい口元づくりまでトータルにサポートしております。

治療の流れ

01

無料カウンセリング

カウンセリングルームで、治療への希望や不安、過去の治療経験などを丁寧に伺います。十分な時間をかけてお話をお聞きしますので、気になることは何でもご相談ください。

02

矯正診断

お口の状態を詳しく把握するために、必要に応じてレントゲンやCT撮影などの検査を実施します。また、スキャナー「iTero」で歯並びを3Dデータ化し、後日、治療後のシミュレーションをご確認いただけます。

03

診断結果のご説明

検査結果をもとに、現在のお口の状態や治療方針について詳しくご説明します。治療法ごとのメリット・デメリット、期間、費用などをお伝えし、患者さまのご希望を伺いながら最適なプランを一緒に検討します。
また、矯正シミュレーションを用いて、治療後の歯並びや複数のプランを比較しながら、ご予算や理想に合った治療法をお選びいただけます。

04

矯正治療スタート

治療プラン決定後、マウスピースを発注します。装置が届いたら、1日22時間以上の装着を守り、5〜7日ごとに新しいものへご家庭で交換して頂きます。

05

定期チェック

当院ではデンタルモニタリングによる遠隔チェックに対応しているため、歯の動きは3ヶ月ごとに1回の来院で確認します。専用アプリで撮影したお口の写真を送ることで、AIとドクターが治療状況を確認し、通院回数を減らすことができます。

06

治療完了・保定開始

全てのマウスピースの使用が終わると矯正治療は完了です。ただし、治療直後は後戻りしやすく、歯が元の位置に戻ろうとします。
そのため、リテーナー(保定装置)の装着が欠かせません。リテーナーは歯ならびの程度によりますが、2年程度の装着を推奨しており、歯の位置が安定するまで定期的なチェックも行います。

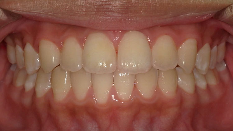
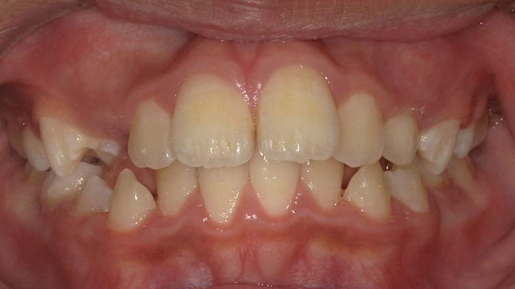
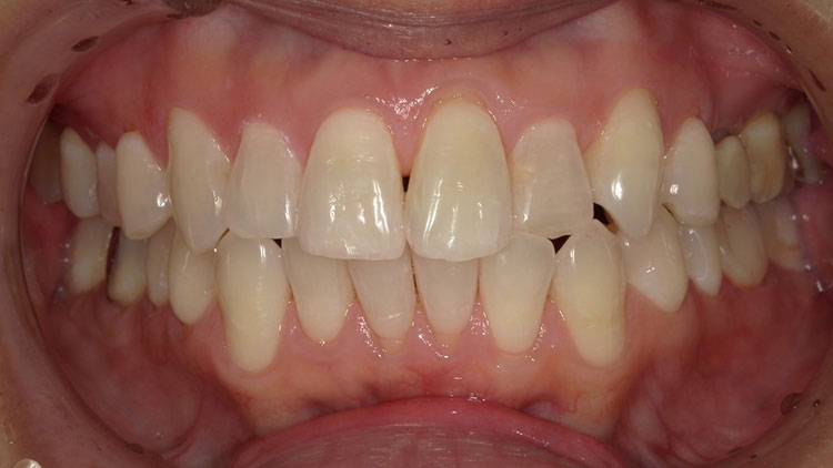
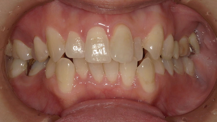
症例紹介

準備中

料金表

小児矯正 660,000円〜770,000円
成人矯正 583,000円〜1,023,000円

準備中

医療費控除制度について

医療費控除とは、患者さまご本人や同一生計のご家族が、1年間(1月~12月)に支払った医療費の合計が10万円を超えた場合に、一定の金額が所得税などから還付される制度です。

申請時期は確定申告と同じく2月~3月です。
申請の際に必要となる書類がありますので、1年間の医療費の領収書は大切に保管しておきましょう。

医療費控除の申告に必要なもの

  • 源泉徴収票
  • 医療費の領収書・明細書(※通院の交通費も含められます)
  • 印鑑
  • 通帳(還付金の振込先)
  • 医療費のうち、保険金などで補填された金額がわかる書類

インビザライン以外
小児矯正メニュー

01

ムーシールド

昼間の1時間と就寝時に装着するマウスピース型の装置です。歯を無理に動かすのではなく、日常的に「お口を正しく閉じる」習慣をつけて口呼吸や舌の悪い癖を治し、きれいな歯並びの土台を作ります。お子様の成長する力を利用して顎の正しい発育を促すため、後戻りもしにくいのが特徴です。

プレオルソ

寝ている間に装着することで、お口周りの筋肉と歯並びを整えるマウスピース型装置です。 柔らかい素材で痛みが少ないため、お子様の睡眠を邪魔しません。学校へは持っていかず、お家での時間と就寝中だけで完結するため、無理なく治療を続けられます。
02

床矯正

取り外し可能なプレート(入れ歯のような形をした装置)を使い、顎の幅を少しずつ広げて歯を並べる治療法です。歯が並ぶためのスペースを確保することで、将来的に健康な歯を抜くリスクを減らします。ネジを回して広げますが、痛みはほとんどなく、食事や歯磨きの際は外せます。
03

よくある質問

マウスピース矯正とはどのような治療ですか?

透明なマウスピース型の装置を使って歯を動かす矯正方法です。
ワイヤーやブラケットを使わないため目立ちにくく、食事や歯みがきの際には取り外すことができます。見た目や生活のしやすさを重視される方に人気の治療法です。

マウスピース矯正のメリットとデメリットは?

〈メリット〉
  • 装置が透明で目立ちにくい。
  • 取り外しができるため食事や歯みがきがしやすい。
  • 装着時の違和感や痛みが少ない。
  • 比較的費用を抑えやすい。
  • ホワイトニングを同時に行うことも可能。
〈デメリット〉
  • 適用できる症例に限りがある。
  • 装着時間(1日22時間以上)を守らないと、治療が長引くことがある。

矯正中に話しにくくなることはありますか?

ほとんどの方は普段どおりに会話できます。
舌側矯正や床矯正のように話しにくくなることはありませんが、治療を始めたばかりの頃は少し違和感を覚える場合があります。
マウスピースは取り外しができるため、大事な会議や面接などの際は一時的に外すことも可能です。

マウスピース矯正はむし歯になりにくいですか?

取り外し可能なマウスピースですので、歯磨きの邪魔にはなりません。
今までのお手入れと同様に歯磨きと仕上げ磨きでお子さんのサポートができます。

10代でもマウスピース矯正はできますか?

治療を始めるにあたって遅いということはありません。
お子さんにとって最適な方法をご案内しますので、遠慮なくご相談ください。

痛くないですか?

小学生のうちは骨がやわらかく、痛みをほとんど感じないことが多いです。
中学生以降でも、マウスピース矯正は歯の移動を細かくコントロールできるため、痛みはほとんどありません。
デンタルモニタリングのチャットでご相談ください。

歯ならびが良くなると、どんなメリットがありますか?

  • 素敵な笑顔が手に入ります。
  • むし歯や歯周病の予防になります。
  • お口の働きが整い、全身の健康にもつながります。

そのため、歯ならびを整えることは見た目だけでなく、全身の健康維持にもつながります。

大人の矯正には対応していますか?

永久歯に生え変わった後でもインビザラインで矯正可能です。
中学生・高校生でも永久歯に生え変わっている場合は成人矯正同様にIPR(歯をわずかに削る方法)や抜歯が必要になることもあります。
ぜひ無料相談をご活用ください。

永久歯に生え変わった後でもインビザラインで矯正可能ですか?

永久歯に生え変わった後でもインビザラインで矯正可能です。
永久歯列のインビザラインはIPR(歯をわずかに削る方法)や抜歯が必要になることもあります。
ぜひ無料相談をご活用ください。

歯科医師プロフィール

お子さんの歯並びに
関心を持っていただき
ありがとうございます。

お子さんのお口の健康といえば、真っ先に虫歯かどうかを気にされる方が多い中、歯並びにまで関心を持っていただいたことを嬉しく思います。
歯並びは、素敵な笑顔と自信、生涯のお口の健康につながる大切な要素です。
少しでも不安や気になることがあれば、どうぞお気軽にご相談ください。

私たちが大切にしているのは、「きちんと説明し、納得して治療を受けていただくこと」そして、ただ歯並びを整えるだけでなく、しっかり噛めて健康につながる治療を丁寧に行うことです。なぜ歯並びが悪くなったのか。その原因を見極め、お一人おひとりに合った方法でサポートしていきます。お子さんや親御さんの気持ちに寄り添いながら、「ここに来てよかった」と思っていただける歯科医院でありたいと願っています。

津島克正

略歴

  • 1965年青森県五所川原市生まれ
  • 1990年日本歯科大学 卒業
  • 1994年津島歯科診療所勤務
  • 1996年津島歯科診療所 継承
  • 2011年津島歯科 移転開業
  • 2011年歯学博士 取得
  • 2014年青森歯科医療専門学校衛生士科 歯周病学講師
  • 2015年医療法人ウェルビーイング 理事長就任
  • 2017年日本大学松戸歯学部 研究講座員(生化学・分子生物学講座)
  • 2019年日本歯科大学附属病院 臨床講師

国内外での講演・学会発表も多数行い、歯周病学・口腔感染症・薬物療法などの分野で論文を執筆しています。

資格・所属学会

資格・学位

歯科医師/歯学博士
日本歯科薬物療法学会 専門医
日本顎咬合学会認定医
国際歯周内科学研究会 指導医

所属・役割

北五歯科医師会会長
日本口腔検査学会 副会長
日本歯科薬物療法学会評議員
日本歯科大学 臨床講師
青森歯科医療専門学校 非常勤講師
国際歯周内科学研究会 前理事長
日本摂食支援協会 理事
五所川原小学校 校医
つがる西北五広域連合 介護認定審査会 委員

主な所属学会

日本小児矯正研究会/日本口腔検査学会/歯科薬物療法学会/日本歯周病学会/日本口腔感染症学会/日本顎咬合学会/国際歯周内科学研究会/弘前歯科臨床研究会(HDCR)/青森インプラント研究会 ほか

津島歯科

無料相談WEB予約

24時間受け付けております

電話で予約・お問い合わせ

[電話受付時間] 8:40~12:00 / 14:00~17:00
[休診日] 日曜 / 祝日 / 第1・3・5木曜 / 第2・4土曜
※ 祝日のある週は、木曜・土曜診療有